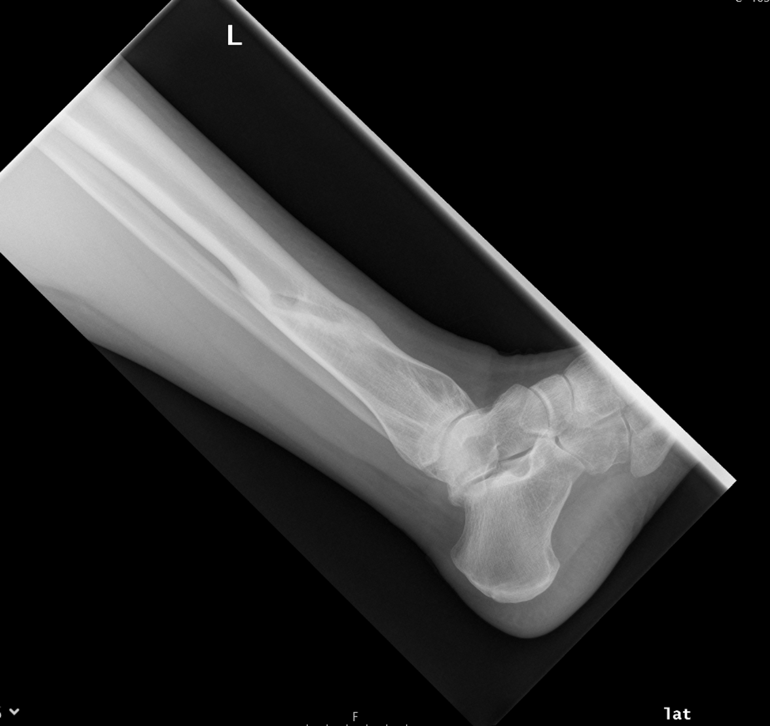
Non Union Radiology . Web this case shows abnormal fracture healing in the tibia and fibula with pseudoarticulation formed in the tibial aspect. • obliques may be helpful for radiographic diagnosis of nonunion • ct can be helpful but metal artifact can make it. Identify the etiology and epidemiology of nonunion of bone medical conditions and emergencies.
from www.researchgate.net
• obliques may be helpful for radiographic diagnosis of nonunion • ct can be helpful but metal artifact can make it. Web this case shows abnormal fracture healing in the tibia and fibula with pseudoarticulation formed in the tibial aspect. Identify the etiology and epidemiology of nonunion of bone medical conditions and emergencies.
(a,b) Tibial nonunion with failure of original ORIF (female patient
Non Union Radiology Web this case shows abnormal fracture healing in the tibia and fibula with pseudoarticulation formed in the tibial aspect. Identify the etiology and epidemiology of nonunion of bone medical conditions and emergencies. • obliques may be helpful for radiographic diagnosis of nonunion • ct can be helpful but metal artifact can make it. Web this case shows abnormal fracture healing in the tibia and fibula with pseudoarticulation formed in the tibial aspect.
From casereports.bmj.com
Nonunion ulnar fracture as a result of a remote injury BMJ Case Reports Non Union Radiology • obliques may be helpful for radiographic diagnosis of nonunion • ct can be helpful but metal artifact can make it. Identify the etiology and epidemiology of nonunion of bone medical conditions and emergencies. Web this case shows abnormal fracture healing in the tibia and fibula with pseudoarticulation formed in the tibial aspect. Non Union Radiology.
From www.learningradiology.com
Learning Radiology nonunion, nonunion, fracture, delayed, union Non Union Radiology Web this case shows abnormal fracture healing in the tibia and fibula with pseudoarticulation formed in the tibial aspect. Identify the etiology and epidemiology of nonunion of bone medical conditions and emergencies. • obliques may be helpful for radiographic diagnosis of nonunion • ct can be helpful but metal artifact can make it. Non Union Radiology.
From www.researchgate.net
Hypertrophic nonunion of the pathological fracture through the right Non Union Radiology Web this case shows abnormal fracture healing in the tibia and fibula with pseudoarticulation formed in the tibial aspect. • obliques may be helpful for radiographic diagnosis of nonunion • ct can be helpful but metal artifact can make it. Identify the etiology and epidemiology of nonunion of bone medical conditions and emergencies. Non Union Radiology.
From radiopaedia.org
Image Non Union Radiology Web this case shows abnormal fracture healing in the tibia and fibula with pseudoarticulation formed in the tibial aspect. Identify the etiology and epidemiology of nonunion of bone medical conditions and emergencies. • obliques may be helpful for radiographic diagnosis of nonunion • ct can be helpful but metal artifact can make it. Non Union Radiology.
From radiopaedia.org
Fracture nonunion Radiology Reference Article Non Union Radiology Web this case shows abnormal fracture healing in the tibia and fibula with pseudoarticulation formed in the tibial aspect. Identify the etiology and epidemiology of nonunion of bone medical conditions and emergencies. • obliques may be helpful for radiographic diagnosis of nonunion • ct can be helpful but metal artifact can make it. Non Union Radiology.
From radiopaedia.org
Image Non Union Radiology Web this case shows abnormal fracture healing in the tibia and fibula with pseudoarticulation formed in the tibial aspect. • obliques may be helpful for radiographic diagnosis of nonunion • ct can be helpful but metal artifact can make it. Identify the etiology and epidemiology of nonunion of bone medical conditions and emergencies. Non Union Radiology.
From radiopaedia.org
Fracture nonunion Radiology Reference Article Non Union Radiology Identify the etiology and epidemiology of nonunion of bone medical conditions and emergencies. Web this case shows abnormal fracture healing in the tibia and fibula with pseudoarticulation formed in the tibial aspect. • obliques may be helpful for radiographic diagnosis of nonunion • ct can be helpful but metal artifact can make it. Non Union Radiology.
From www.researchgate.net
(a,b) Tibial nonunion with failure of original ORIF (female patient Non Union Radiology • obliques may be helpful for radiographic diagnosis of nonunion • ct can be helpful but metal artifact can make it. Identify the etiology and epidemiology of nonunion of bone medical conditions and emergencies. Web this case shows abnormal fracture healing in the tibia and fibula with pseudoarticulation formed in the tibial aspect. Non Union Radiology.
From www.researchgate.net
Stage III scaphoid nonunion advance collapse wrist. (A) Anteroposterior Non Union Radiology Web this case shows abnormal fracture healing in the tibia and fibula with pseudoarticulation formed in the tibial aspect. Identify the etiology and epidemiology of nonunion of bone medical conditions and emergencies. • obliques may be helpful for radiographic diagnosis of nonunion • ct can be helpful but metal artifact can make it. Non Union Radiology.
From hand-surgery.gr
Scaphoid Non Union Hand Surgery Non Union Radiology Web this case shows abnormal fracture healing in the tibia and fibula with pseudoarticulation formed in the tibial aspect. Identify the etiology and epidemiology of nonunion of bone medical conditions and emergencies. • obliques may be helpful for radiographic diagnosis of nonunion • ct can be helpful but metal artifact can make it. Non Union Radiology.
From www.thieme.in
Guidelines in Fracture ManagementNonunion in Long Bones II Non Union Radiology Web this case shows abnormal fracture healing in the tibia and fibula with pseudoarticulation formed in the tibial aspect. Identify the etiology and epidemiology of nonunion of bone medical conditions and emergencies. • obliques may be helpful for radiographic diagnosis of nonunion • ct can be helpful but metal artifact can make it. Non Union Radiology.
From www.youtube.com
General principles of ortho trauma for PA students 5 Nonunion YouTube Non Union Radiology Identify the etiology and epidemiology of nonunion of bone medical conditions and emergencies. Web this case shows abnormal fracture healing in the tibia and fibula with pseudoarticulation formed in the tibial aspect. • obliques may be helpful for radiographic diagnosis of nonunion • ct can be helpful but metal artifact can make it. Non Union Radiology.
From www.mdpi.com
JCM Free FullText Addition of Bone Marrow Aspirate Concentrate Non Union Radiology Identify the etiology and epidemiology of nonunion of bone medical conditions and emergencies. Web this case shows abnormal fracture healing in the tibia and fibula with pseudoarticulation formed in the tibial aspect. • obliques may be helpful for radiographic diagnosis of nonunion • ct can be helpful but metal artifact can make it. Non Union Radiology.
From www.schreibermd.com
Scaphoid Fracture Raleigh Hand Surgery — Joseph J. Schreiber, MD Non Union Radiology Identify the etiology and epidemiology of nonunion of bone medical conditions and emergencies. • obliques may be helpful for radiographic diagnosis of nonunion • ct can be helpful but metal artifact can make it. Web this case shows abnormal fracture healing in the tibia and fibula with pseudoarticulation formed in the tibial aspect. Non Union Radiology.
From www.cureus.com
Cureus Fracture Nonunions and Delayed Unions Treated With Low Non Union Radiology Identify the etiology and epidemiology of nonunion of bone medical conditions and emergencies. Web this case shows abnormal fracture healing in the tibia and fibula with pseudoarticulation formed in the tibial aspect. • obliques may be helpful for radiographic diagnosis of nonunion • ct can be helpful but metal artifact can make it. Non Union Radiology.
From www.drbrinker.com
Nonunion Tibia Case 6 Dr. Mark Brinker, Houston Orthopedic Surgeon Non Union Radiology Web this case shows abnormal fracture healing in the tibia and fibula with pseudoarticulation formed in the tibial aspect. Identify the etiology and epidemiology of nonunion of bone medical conditions and emergencies. • obliques may be helpful for radiographic diagnosis of nonunion • ct can be helpful but metal artifact can make it. Non Union Radiology.
From mavink.com
C1 Posterior Arch Fracture Non Union Radiology • obliques may be helpful for radiographic diagnosis of nonunion • ct can be helpful but metal artifact can make it. Identify the etiology and epidemiology of nonunion of bone medical conditions and emergencies. Web this case shows abnormal fracture healing in the tibia and fibula with pseudoarticulation formed in the tibial aspect. Non Union Radiology.
From www.mdpi.com
JCM Free FullText Vascularized Growth Plate Transfer in Paediatric Non Union Radiology • obliques may be helpful for radiographic diagnosis of nonunion • ct can be helpful but metal artifact can make it. Identify the etiology and epidemiology of nonunion of bone medical conditions and emergencies. Web this case shows abnormal fracture healing in the tibia and fibula with pseudoarticulation formed in the tibial aspect. Non Union Radiology.